虫歯治療・精密根管治療
このページの目次
- 1 天然歯の保存にこだわった虫歯治療・根管治療に努めております
- 2 虫歯の進行状態と当院で実施する治療について
- 2.1 C0・C1【初期虫歯】
- 2.2 PMTC
- 2.3 歯磨き指導
- 2.4 フッ素塗布
- 2.5 C2【象牙質の虫歯】
- 2.6 拡大視野での精密な切削
- 2.7 エキスカベーターの使用
- 2.8 う蝕検知液の使用
- 2.9 ダイレクトボンディング(CR充填)
- 2.10 MTAセメントによる覆髄処置
- 2.11 保険適用のコンポジットレジンを用いた前歯の虫歯治療症例
- 2.12 C3【歯の神経にまで進行した虫歯】
- 2.13 再発リスクの軽減にこだわった精密根管治療の実施
- 2.14 歯科拡大鏡による視野の拡大
- 2.15 ラバーダムによる細菌感染対策
- 2.16 CTを用いた精密診断の実施
- 2.17 Ni-Tiファイルの使用
- 2.18 MTAセメントによる緊密な根管充填
- 2.19 精度の高いかぶせ物の製作
- 2.20 C4【歯の根だけが残っている状態】
- 2.21 エクストルージョンの実施
- 3 感染根管治療・クラウンレングスニングを行った症例
- 4 自費の根管治療後にゴールドクラウンで修復した症例
- 5 巣鴨で歯の保存にこだわった虫歯治療・根管治療をご希望の方へ
天然歯の保存にこだわった虫歯治療・根管治療に努めております

巣鴨S歯科矯正歯科では、生涯を天然歯で生活していただけるよう、症状に合った適切な処置を施し、できるだけ「削らない・抜かない・痛みの少ない」低侵襲な虫歯治療・根管治療に努めております。
虫歯の進行状態と当院で実施する治療について
虫歯の状態については、虫歯を意味するカリエス(carious)の頭文字「C」と0~4の数字の組み合わせで表します。こちらでは、虫歯の進行状態と当院で実施する治療法についてご紹介いたします。
C0・C1【初期虫歯】
C0・C1の虫歯はどちらも初期虫歯に分類されます。C0は歯の表面が虫歯の酸によって溶け始めた脱灰(だっかい)という状態。
C1は歯の一番外側にあるエナメル質が虫歯になっている状態です。C0・C1の虫歯については、基本的には歯を削ったりすることなく、口腔内を清潔に保ち、歯の修復機能である再石灰化を促してあげることで、治癒できる場合があります。
※C1の虫歯については、歯の色が気になったり、将来的に悪化したりする可能性がある場合には、歯を最小限に削り、小さなつめ物で修復することもあります。
PMTC

歯磨きでは取れない歯垢やバイオフィルムなどの汚れを、専用の器具によって除去します。口腔内を清潔することによって、虫歯の悪化防止、初期虫歯の治癒が期待できます。
歯磨き指導

口腔内を清潔に保つためには、日々のセルフケアが重要になります。当院では必要に応じて歯磨き指導を実施し、患者さまのセルフケアの質の向上に努めております。
フッ素塗布

高濃度のフッ素を歯面に塗布します。フッ素には虫歯菌の活動を抑制したり、再石灰化を促進したりする働きがあるため、初期虫歯の悪化防止、治癒に効果的です。
C2【象牙質の虫歯】
C2はエナメル質の下にある象牙質にまで虫歯が進行した状態です。象牙質はエナメル質に比べて柔らかい組織のため、虫歯の進行が早いという特徴があります。
治療の際には、痛みを伴う可能性が高いため、麻酔注射を行った後、できるだけ健康な歯を削らないよう、虫歯部分のみを丁寧に削り、適切なつめ物・かぶせ物で修復いたします。
拡大視野での精密な切削
治療の際は、歯科拡大鏡を用いた拡大視野の下で精密な処置を実施いたします。虫歯感染歯質と健康な歯質の境目を目で確認しながら、丁寧な切削を行います。
エキスカベーターの使用

虫歯に感染した歯は軟化するため、最初から最後までドリルを使用すると、健康な歯質を削り過ぎてしまう可能性があります。少しでも健康な歯質を残すため、当院ではエキスカベーターという手動の器具を使用し、細部や仕上げの切削を精密に行います。
う蝕検知液の使用

歯を削る際は、虫歯部分にのみ着色するう蝕検知液を使用します。健康な歯質と虫歯感染歯質を視認できるため、精密な切削が可能となり、健康な歯質をより多く残すことができます。
ダイレクトボンディング(CR充填)

虫歯を削った後の欠損部分の修復はダイレクトボンディング(CR充填)を心がけております。ダイレクトボンディングは、歯科用の樹脂(コンポジットレジン)を直接盛って歯の形態を整える修復法です。歯の切削量を最小限に抑えられ、さらに即日に治療が完了します。
MTAセメントによる覆髄処置

歯の切削時に神経が露出したり、切削時の刺激によって炎症が起こったりした場合には、殺菌効果のあるMTAセメントで神経を保護する「覆髄処置」によって、できるだけ神経を保存するように努めております。
保険適用のコンポジットレジンを用いた前歯の虫歯治療症例
前歯の歯頚部(歯と歯茎の境目)にできた虫歯を切削後、保険適用のコンポジットレジンで修復した症例をご紹介致します。
初診時の口腔内
上顎の前歯の虫歯が主訴で来院された患者さまです。右上1番、左上1番の歯頚部(歯と歯茎の境目)に虫歯が認められました。C2(象牙質の虫歯)と診断し、患者さまのご希望により、保険診療にて治療をしていきます。
虫歯の切削
表面麻酔を十分に塗布し時間を置いて、浸潤麻酔を行います。歯肉縁下に虫歯が広がっていたため、今回は圧排糸(あっぱいし)を使用しました。
歯周ポケットに圧排糸を挿入して歯肉を押しのけることで、下記のようなメリットがあります。
- 削らければならない虫歯部分を露出させることができる
- 虫歯を削る際に歯肉を傷つけることを防ぐ
- 圧排糸には止血剤が含まれており、歯周ポケットからの浸出液、血液成分を抑えてコンポジットレジンの接着の向上につながる
- 歯周ポケットにコンポジットレジンが流れてしまうのを防ぐ など
【左上1番の拡大写真】
巣鴨S歯科矯正歯科では、色々な太さの圧排糸を使用して治療を行います。あとは、う蝕検知液という虫歯の部分だけを青く染めて虫歯を取り除く工夫を行い、健康な歯をなるべく削らないよう心がけています。写真は虫歯の除去が完了した状態です。(圧排糸がう蝕検知液で青く染まっています)
コンポジットレジン充填
歯の色味(シェード)に合わせたコンポジットレジンを詰め、研磨をしたあと、圧排糸を取り除いて治療完了です。
| 年齢/性別 | 50代 男性 |
|---|---|
| 治療期間 | 1日 |
| 治療回数 | 1回 |
| 治療費 | コンポジットレジン充填 保険診療に準ずる |
| リスクなど | ・経年劣化により脱離、変色する可能性があります。 |
C3【歯の神経にまで進行した虫歯】
C3は虫歯が歯の神経にまで進行した状態です。歯の神経が虫歯菌に感染すると、炎症を起こすため、何もしない状態でもズキズキと痛みを感じます。
C3の虫歯を改善するためには、歯の内部にある神経や血管などの感染物質を取り除き、殺菌、密封する根管治療が必要となります。歯の欠損部分が大きいため、根管治療後はかぶせ物を装着し、歯の形態を修復します。
C3の虫歯はさらに悪化すると、抜歯リスクも高くなるため、早急な対応をおすすめいたします。
再発リスクの軽減にこだわった精密根管治療の実施
当院では、再発リスク、抜歯リスクを軽減するため、視野の拡大や細菌感染対策などにこだわった精密な根管治療の実施に努めております。
歯科拡大鏡による視野の拡大

肉眼の数倍まで視野を拡大できる歯科拡大鏡を使用し、精密な処置を心がけております。暗くて狭い根管内の状態を目でしっかりと確認することで、感染物質の取りこぼしを防ぎ、再発率の軽減に努めております。
ラバーダムによる細菌感染対策

根管治療の際は、ラバーダムというゴム製のシートで口腔内環境から当該歯を隔離した状態で治療を行います。細菌などを含む唾液が根管内に進入するのを防止することで、治療後の再発リスクを軽減することができます。
CTを用いた精密診断の実施

必要に応じてCTによる精密検査を実施いたします。レントゲン画像では、確認が難しい病巣の発見をはじめ、根管の形状や数を事前に把握することでより精度の高い根管治療が可能となります。
Ni-Tiファイルの使用

根管内の感染物質の除去や根管の拡大には、先端がヤスリのような形状のファイルという器具を使用します。当院では、湾曲した根管にもしっかりと追従するニッケルチタン製のファイルを使用し、より精度の高い清掃・根管の拡大に努めております。
MTAセメントによる緊密な根管充填

根管内の感染物質を取り除いた後は、細菌の繁殖スペースを残さないよう、MTAセメントを用いて根管充填を行います。MTAセメントは膨張しながら硬化するため、隅々まで緊密な根管充填が可能となります。
精度の高いかぶせ物の製作

根管治療後の再発リスクを軽減するためには、精度の高い根管治療に加え、精密なかぶせ物の製作が必要不可欠となります。当院では、見た目はもちろん、適合性や機能性、長持ちにこだわった精巧なかぶせ物(クラウン)の製作に努めております。
C4【歯の根だけが残っている状態】
C4は歯茎より上に歯質がなく、歯根だけが残っている状態です。根管治療で既に神経を取り除いているため、痛みを感じることはありませんが、歯根の部分では虫歯が進行しています。
C4の状態では、抜歯と診断されることも少なくありませんが、歯を保存できる可能性がある場合には、もう一度根管治療を実施いたします。
また通常の根管治療だけでは、保存が困難な場合には下記のエクストルージョンという処置を併用し、歯の保存を試みます。
エクストルージョンの実施
歯茎より上に十分な歯質がない場合には、かぶせ物を装着しても長期的な安定が見込めないため、抜歯と診断されることも少なくありません。そのような場合には、エクストルージョンという矯正処置によって、抜歯の回避を試みます。
歯茎より下にある歯質を引っ張り上げ、かぶせ物との安定性を高めることで長期維持が可能となり、土台の歯として機能させることができます。
感染根管治療・クラウンレングスニングを行った症例
▼感染根管治療とクラウンレングスニングによって、前歯4本の症状と審美性を改善した症例をご紹介致します。
※感染根管治療:既に神経を取り除いた歯の根に感染が起こり、歯根の先端部分で炎症が起こっている場合に行う根管治療。
初診時の口腔内
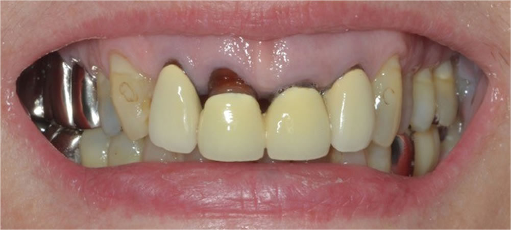
こちらの患者さまは、笑った時の上の前歯の見た目が気になるとの主訴で来院されました。ガミースマイル(笑った時に歯茎が見えてしまう状態) かつ、不適合な補綴物が装着されている状態でした。
治療計画について
- 上顎前歯4本の根管治療の状態が不十分であること→感染根管治療を行う
- 歯周組織検査の結果から、左上1番2番は唇側歯槽骨の高さが右上1番2番と異なっており、補綴治療のみでは歯肉縁の高さを左右対象に揃えることは困難であること→クラウンレングスニングという手術を行う
また、患者さまは治療期間・回数がかかっても構わないとのことでしたので、1歯ずつ順番に感染根管治療→支台築造を行い、4歯終了後にクラウンレングスニングを実施。治癒期間を経て最終補綴へ という治療計画を立案しました。
上記を説明し、患者様の同意が得られたので治療開始です。
根管治療の実施(右上1番・2番)
右上2番と同様の根管治療を右上1番にも行いました。
レントゲンを撮影して、根管治療が問題なく行えていることを確認します。
右上2、右上1の支台築造後の写真です。前歯の治療中は必ず仮歯を装着し、細菌による感染を防ぎ、審美性の確保を行います。
クラウンレングスニングの実施
左上1番2番の不適合補綴物を除去すると、セメントラインが肉眼でもはっきりと分かってしまうような不適合なメタルコアが装着されていました。患者さまのご希望により、本来なら感染根管治療に移る予定でしたが、先にクラウンレングスニングを行うことになりました。
【クラウンレングスニング(歯冠長延長術)とは】
歯冠延長術とも呼ばれる歯茎の処置です。歯茎よりも上に歯質がない場合、歯茎を下げることで歯の根を露出させ、土台を作れる状態にします。抜歯をするしかない状態を残すときに適応としたり、今回のように審美性の獲得を目的として用いられます。
クラウンレングスニング(歯冠長延長術)により、歯茎の高さを修正(歯槽骨を一部部分整形)して歯の長さと形を修正しました。
根管治療の実施(左上1番・2番)
左上1番・2番の歯も右上1番・2番と同様に感染根管治療を行いました。レントゲンを撮影して、根管治療が問題なく行えていることを確認します。
クラウンレングスニングなどの歯周外科処置がからんだ補綴治療は、歯茎が安定するまで最終的な型取りを行うことができません。
仮歯を装着し、今回は3ヵ月待機して最終補綴へと移行しました。
治療完了
歯茎のラインが整った状態で適合の良い最終補綴物を装着しました。患者さまにはとても満足していただけました。
| 年齢/性別 | 50代 女性 |
|---|---|
| 治療期間 | 7ヵ月 |
| 治療回数 | 15回 |
| 治療費 | 感染根管治療 保険診療に準ずる 自費 クラウンレングスニング 11,000円/歯 自費 特殊土台(ファイバーコア)直接法 15,000円/歯 自費 メタルボンドクラウン 155,000円/歯 自費 仮歯 5,500円/歯 |
| リスクなど | ・感染根管治療を行った部位の痛みが取れない場合は、歯根端切除術の適応となる場合があります。 ・歯周外科手術による痛みを伴う場合があります。 ・セラミックスの被せ物に強い衝撃が加わると破損する可能性があります。 |
自費の根管治療後にゴールドクラウンで修復した症例
▼自費の根管治療後、ゴールドクラウンで歯を修復した症例をご紹介いたします。
初診時の口腔内
【右:舌側面観 左:頬側面観】
主訴は『噛んだ時に違和感がある』とのことでした。視診、歯周病の検査では問題がなく、打診に て軽度の痛みを感じるとのことでした。
レントゲン撮影・検査
当該歯のレントゲン写真を撮影した結果、被せ物の不適合が認められました。近心根(前歯側の歯根)、遠心根(奥歯側の歯根)ともに透過像が認められる(膿んでいる可能性があります。遠心根に設置された土台に使用されるメタルポストの方向がずれており、穿孔(パーフォレーション)をしている疑いがあります。上記所見から、被せ物の不適合及び穿孔を伴う慢性化膿性根尖性歯周炎と診断。患者さまと相談し、自由診療にて治療を開始しました。
かぶせ物の除去
被せ物及び、レジンコア(土台)、メタルポストの除去を行い、う蝕検知液(虫歯の染色液)にて虫歯の確認を行ったところです。土台の下は虫歯で汚染されていました。
根管治療の実施
虫歯を徹底的に除去すると、遠心根に穿孔部位が確認できました。ラバーダム防湿を行い、根管洗浄、貼薬(水酸化カルシウム製剤という薬を根管に詰めること)を行い、セメントで仮蓋をして治療初回は終了。①→②の順番で、MTAセメントおよびガッタパーチャポイントを使用して根管充填を回数を分けて行いました。
ゴールドクラウン(白金加金)装着して治療完了
製作したゴールドクラウン(白金加金)を装着しました。ゴールドクラウン(白金加金)は、天然歯の硬さに近い材料で破損も少ない材料ですが、審美性に劣ります。今回は患者さまが安定性を最重要視されたため、こちらの素材を選択しました。適合も問題なく、噛んだ時の違和感も全くないとのことです。治療完了後は、3ヵ月ごとの経過観察とメンテナンスに移行しました。
| 年齢/性別 | 70代 女性 |
|---|---|
| 治療期間 | 3ヵ月(経過観察期間を除く) |
| 治療回数 | 6回 |
| 治療費 | 自費根管治療(大臼歯) 88,000円(税込) MTAセメント 22,000円(税込) ゴールドクラウン(白金加金) 184,800円(税込) |
| リスクなど | ・治療途中に歯の破折等が見つかる場合があり、治療計画に変更が生じる可能性があります。 ・痛み、違和感等が完全に消失しない場合があります。 |
巣鴨で歯の保存にこだわった虫歯治療・根管治療をご希望の方へ

巣鴨S歯科矯正歯科では、患者さまの大切な天然歯をできるだけ「削らない・抜かない」ことにこだわり、進行レベルに合った適切な虫歯治療の実施に努めております。巣鴨にて歯の保存にこだわった虫歯治療・根管治療をご希望の方はぜひ、当院までお気軽にご相談ください。




































