インプラント再治療の症例
左上2〜7番欠損部に実施したインプラント再治療の症例
左上2〜7番欠損部に実施したインプラント再治療の症例をご紹介致します。
初診時の口腔内
こちらの患者さまは、「過去にインプラント治療を行った左上部分から匂いがする」との主訴で来院されました。他院にて、左上2~7番欠損部にインプラント治療がされていました。視診では全顎的に歯周病所見が認められました。左上2~7番インプラント部の歯肉には発赤・腫脹が認められ、軽く歯肉に触れるだけで疼痛を呈し、出血・排膿するような状況でした。
レントゲン診査を行ったところ、当該部位にはインプラントが4本埋入されていました。
(※個人情報保護の点からレントゲン写真の掲載については控えさせていただきます。)
【インプラント体の位置関係の模式図】
レントゲン診査・CT診査にて判明したインプラント体の位置関係の模式図です。
診断:インプラント周囲炎、インプラント上部構造の形態不良
問題点の整理、診断に基づく治療計画の相談
問題点の整理、診断に基づく治療計画の相談を行います。特筆する問題については下記の5点です。
他院にて埋入されたインプラントメーカーが不明
現在、世界中ではインプラントメーカーが100社以上存在します。それぞれメーカーが定めた規格でパーツが販売されています。埋入されたインプラントメーカーがわからない場合は、再治療に必要なパーツと道具を取り寄せることができないため、治療ができません。
今回の症例では当院で導入しているインプラントシステムと異なり対応ができません。患者さま・インプラント治療を行った歯科医院に情報提供のご協力をいただき、今回は無事、インプラントメーカーおよび埋入インプラントの型番等の情報を得ることができました。
(埋入されたインプラントについての情報は個人情報となるため、患者さまご自身でお問い合わせいただく必要があります。)
★印のインプラント体の距離が近すぎる
インプラント体同士の間の距離は最低でも3mm確保する必要があります。(Tarnow et al., 2000)
3mm以下になるとインプラント間の骨頂において大きな骨吸収を起こし、インプラント周囲炎を引き起こす原因となる可能性があります。 解決策としては、★印どちらかのインプラント体の除去が望ましいですが、外科的侵襲の度合いが大きいことから最終手段とすることにしました。
補綴物の設計デザイン
インプラント治療だけではなく歯科治療すべてに言えることですが、患者さまご本人のセルフケアが行えなければ、治療部位の健康維持は達成できません。現在装着された補綴物は歯間ブラシが挿入できない状態です。
②に挙げた部位を含め、歯間ブラシ等にてインプラント周囲炎の原因因子であるプラークの除去が行える状態にする必要があります。また、今回のケースについては、固定式補綴装置(口腔内に装着したまま使用可能)のブリッジタイプと可撤式補綴装置(取り外し式)の入れ歯タイプの選択肢が考えられました。
| 固定式補綴装置 | 可撤式補綴装置 | |
| メリット | ご自身で取り外しをしなくて済む | 補綴装置を取り外すと、ブラッシングを行いたい部位であるインプラントと歯肉の境界が露出するので、セルフケアが容易となる |
| デメリット | セルフケアが困難な可能性あり | ご自身で取り外しをしなくてはならないため、煩雑さが増す |
【可撤式補綴装置とする場合】
例えば、義歯にマグネット(磁石)を埋め込む設計にし、インプラントのパーツにキーパー(義歯に埋め込んだ磁石とくっつくので維持力が生まれる)を使用し、前歯付近にバネが目立たなく、さらに外れにくさと清掃性を考慮した設計にすることができます。(デザインは担当医師の考えによってかなりの選択肢があります。あくまで一例です。)
インプラント周囲炎の改善が必要
患者さまと相談して③補綴物の設計デザインを検討しながら、セルフケアの徹底を行います。改善が認められなければ、外科的デブライドメンド(インプラント体に付着してしまったプラーク、歯石を外科処置にて除去)を行います。それでも改善が認められない場合は、大学病院等を受診していただき、原因であるインプラントの除去を依頼させていただくこととしました。
セメントリテインとスクリューリテインが混在し、再治療が困難
インプラント体と上部構造の固定方法には、スクリューリテインとセメントリテインと呼ばれる2つの方法があります。(次図参照)
スクリューリテイン
アバットメントと上部構造をアクセスホールよりスクリューにて固定した後、アクセスホールをコンポジットレジンにて封鎖する術式。
セメントリテイン
アバットメントをスクリューにて固定した後、上部構造とアバットメントをセメントにて固定する術式。
| セメントリテイン | スクリューリテイン | |
| メリット | ・審美性に優れる | ・セメントを使用しないため、感染リスクが低い ・術者が容易に着脱可能で、メンテナンスや修理時に有利 |
| デメリット | ・セメントには細菌が付着しやすく、感染を起こす危険性がある ・上部構造を外す時にインプラント体に衝撃が加わる |
・審美性に劣る(アクセスホールがあるため) ・構造が複雑になるため、患者さまの自己負担額が高額となる |
今回のケースでは、一番奥のインプラント体相当部のみ、アクセスホールが確認できました。他部位はセメントリテインにて固定されている可能性が高いです。
使用されているセメントが仮着セメントではなく合着セメントであった場合は、破壊して除去するしか方法がありません。そこで本症例で行ったインプラントの除去方法です。
①アクセスホールに充填されたコンポジットレジンの除去を行い、上部構造全体に仮歯を外す道具で軽めの衝撃を加え除去を試みます。除去できない場合は、セメントリテイン部は合着されているとみなします。→外れないため、合着と判断しました。
②患者さまに治療部位の審美性が一時的に損なわれることにご了承いただき、人工的にアクセスホールを作ることとしました。
CT画像から、頬側よりアプローチすればアバットメントおよびスクリューまでは到達が可能だと判断していたため、前装部を削っていきます。(手技としては無理矢理ですね。。。)
前装部はハイブリッドレジンで削るのは容易でしたが、上部構造のフレームは金属ですから、削るのにはかなりの時間がかかりました。患者さまには大変頑張っていただきました。
人工的にアクセスホールを形成し(写真青色部)、スクリューリテインの様な状態にました。専用のドライバー(スクリューの着脱に使用)にて上部構造が外せることを確認し、審美性を確保するためにコンポジットレジンにてある程度の形態回復をしてその日は終了としました。(この日の治療は約2時間かかっています。)
仮歯の印象採得(型取り)
続いて、仮歯用の印象採得を行います。それぞれのインプラントの太さに合った印象用のパーツを装着します。また、問題点②(インプラント間距離が狭い)で挙げたインプラント体の一つは清掃性を考慮するため、使用しないこととします。使用しないインプラントは高さが低いパーツ(ヒーリングアバットメントを代用)を装着します。
精密な型取りが可能なシリコン材料にて印象採得を行いました。この日は既存のインプラント上部構造を装着してお帰りいただきました。
仮歯の装着
担当技工士に製作していただいた仮歯です。
やはり、問題点②(インプラント間距離が狭い)で挙げた部位は補綴物の製作上無理があるため、使用したヒーリングアバットメントの一部を削るように指示をいただきました。
(右写真)ヒーリングアバットメントの一部を削り、仮歯と干渉しないように整えました。
仮歯を口腔内に装着しました。仮歯の期間中ですが、頬側・咬合面のアクセスホールはコンポジットレジンにて埋めるので、審美性に問題はありません。咬合調整した後、セルフケアの徹底のため、歯間ブラシ・ワンタフトブラシによる清掃指導を行いました。
経過観察~最終補綴物の製作
その後は1ヵ月ごとに来院していただき、歯周病の治療およびセルフケアが行えているか、仮歯がぐらつくなどの問題が生じないかを確認していきました。
仮歯を装着してすぐに、膿の嫌な臭いが消えたとのことでした。こちらは3ヵ月経過した時の写真です。仮歯を外し、インプラント周囲の歯肉に触れても出血は認められません。歯肉の状態はとても良好です。
仮歯にて補綴物の形態を修正し、セルフケアの徹底をすることでインプラント周囲炎の改善を達成することができました。咬み合わせにも問題がありません。外科処置を行わず、仮歯の形態を踏襲するデザインで最終補綴物を製作することが可能と判断、最終補綴物の製作に移ります。
仮歯と歯肉が接する部分の型取りを行います。担当歯科技工士に患者さまのセルフケアがしやすい形態を再現してもらいます。
フェイスボウトランスファーの実施
フェイスボウトランスファーを行います。フェイスボウと呼ばれる装置を用いて、上顎歯列の三次元的位置関係を咬合器上に再現します。
これを行うことにより、咬合器と模型の関係が生体の動きと近似、製作される最終補綴物が顎の動きに調和したものとなります。
参照:https://www.kavo.co.jp/product/kavoproduct/high_tech/articulator/face_bow
また、上下の模型の咬み合わせは、実際の仮歯を用いて咬合器に装着します。通常は、咬合床と呼ばれる装置や、シリコン系の材料を用いて上下の模型の咬み合わせを再現します。これらは材料の変形量が少なからず発生してしまい、ミクロン単位の誤差が発生してしまうことが欠点です。
今回の症例は、噛み合わせがかなりシビアな症例です。そこで、実際の仮歯(まったく変形しません)を用いることで、口腔内の咬み合わせの状況をそっくりそのまま咬合器上に再現することが可能な手法をとりました。
上下の模型が口腔内と同様の位置関係に再現できています。決して歯科技工士任せではなく、歯科医師自身がこの工程を行うことにより、より調整量の少ない、より口腔内に調和した最終補綴物の製作が可能になります。
お借りしていた仮歯を口腔内に装着、アクセスホールをコンポジットレジンにて封鎖して、その日は終了です。
(※実際にお口の中に装着する仮歯をお借りして作業を行いました。患者さまには時間的拘束がお昼休みの休憩を含めて約4時間ほど発生しております。患者さまのご協力、ご理解あっての治療です。)
最終補綴物の試適
上部構造のデザインは担当技工士と相談し、インプラント支台が3本のブリッジ、セメントリテインにて行うこととしました。また、インプラントへの負担を考え、旧補綴物に設定されていた左上7番相当の延長ポンティック(遠心に伸ばされた人工歯のこと)は設定しないこととしました。
アバットメントの適合とジルコニアフレームの適合を確認し、ホワイトワックスにて審美性・清掃性の最終確認を行いました。
治療完了
完成した最終補綴物の色味に問題がないことを患者さまに確認していただきました。
また、噛み合わせについては無調整で口腔内に装着することができました。仮着用のセメントにて装着して治療を終了としました。患者さまには大変満足していただけました。
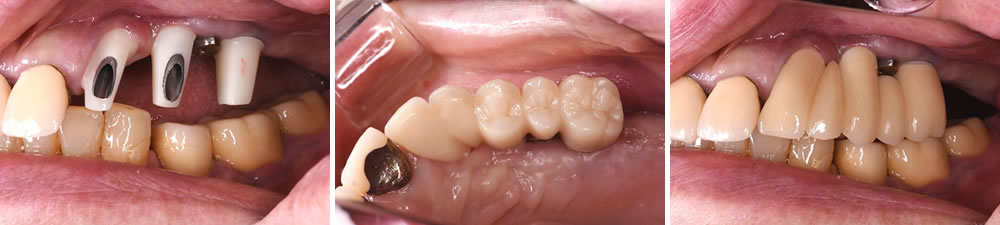
治療前~治療後の比較
今回のケースは他院にてインプラント治療を行った部位の再治療です。補綴物の形態を修正し、セルフケアを達成することだけでインプラント周囲炎が改善しました。インプラント治療を含め、歯科治療すべてにおいて言えることですが、患者さまのご協力、ご理解、ご自身のモチベーションがあってこそ治療は成立します。そのことを強く痛感させられた、そして深く学ばせていただいた症例の紹介でした。
| 年齢/性別 | 60代 女性 |
|---|---|
| 治療期間 | 5ヵ月 |
| 治療回数 | 12回 |
| 治療費 | 治療費 総額 1,264,000円(税込) 自費 インプラント治療 カウンセリング料 5,500円 CT撮影 22,000円 フェイスボウトランスファー・咬合器装着料 16,500円 上部構造 仮歯 11,000円×5歯 ジルコニアアバットメント 55,000円×3歯 ジルコニアボンドクラウン 200,000円×5歯 |
| リスクなど | ・セラミックスの被せ物に強い衝撃が加わると破損する可能性があります。 ・インプラント治療を行った部位の補綴物やパーツは破損したり、インプラント周囲炎にかかる可能性があります。 |






















