フルジルコニアクラウンブリッジの症例
フルジルコニアクラウンブリッジの症例
入れ歯使用中の患者さまをフルジルコニアクラウンブリッジで治療した症例をご紹介します。
初診時の口腔内
- 上の前歯の見た目が気になる
- 取り外し式の義歯が不便である
右上2番の1歯欠損部位に可撤式の義歯をご使用されていました。10年以上使用してきた義歯は何回も修理しながら使用してきましたが、とくに最近は取り外すのが不便と感じるようになり、固定式の治療をご希望ということでご相談いただきました。
欠損部の治療方法と治療方法の選定について
本症例のように中間1歯欠損の場合、義歯、ブリッジ、インプラント治療の選択肢が考えられます。最近ではノンメタルクラスプデンチャーという審美性に優れた義歯(バネが歯肉と同じ色で目立ちにくい)もありますが、患者さまは固定式をご希望のため選択肢から除外されます。
また、両隣在歯の保護(健全歯質の削除量、咬合負担の緩和)の観点から、インプラント治療が第一選択となりますが、患者様がご高齢であること、および全身状態(糖尿病あり)を考慮すると適応ではありません。
審美性に優れたオールセラミックスクラウンを製作するためには、健全歯質を約60~70%削合するというデータがあります(Edelhoff, 2002)。 ブリッジですすめる場合は、本症例は支台歯となる歯がどちらも健康な歯(右上3番に小さなCR充填があるのみ)であり、かなりの削除量となります。
これらのことを患者さまと相談し、歯質の削除量が多くなってしまいますが、患者さまの了承を得てブリッジによる治療を行うこととしました。 補綴物の種類は、メタルセラミックス、ジルコニアセラミックス、フルジルコニアの3つが考えられます。歯質削除量が減らせ、審美性にも優れるフルジルコニアでの治療を計画しました。
各治療法のメリット・デメリット
▼義歯・ブリッジ・インプラントのメリット・デメリットは下記の通りです。
| 名称 | メリット | デメリット |
|---|---|---|
| 義歯 | ・土台の歯を削る量が少ない ・着脱可能なため清掃性が高い ・破損したら修理や再製作が容易 |
・取り外しが不便 ・食事中に外れてしまう場合がある ・食渣がたまり、歯周病になりやすい ・デザインによっては審美性が悪い |
| ブリッジ | ・固定式のため自分の歯と同じように使用可能 ・審美性が高い |
・土台の歯を削る量が多い ・破損したら再製作が必要な場合あり ・セルフケアが困難 |
| インプラント | ・固定式のため自分の歯と同じように使用可能 ・審美性が高い ・両隣の歯を削らなくて済む |
・パーツが破損した場合は修理が必要 ・歯槽骨への介入が必要 ・費用が高い |
支台歯形成・仮歯の製作
プロビジョナルクラウンを製作し、知覚過敏等の症状が出ないか、プロビジョナルクラウンの形態で審美面だけでなく機能面(咀嚼、発音等)に問題がないかを確認しながら3ヶ月経過観察を行います。
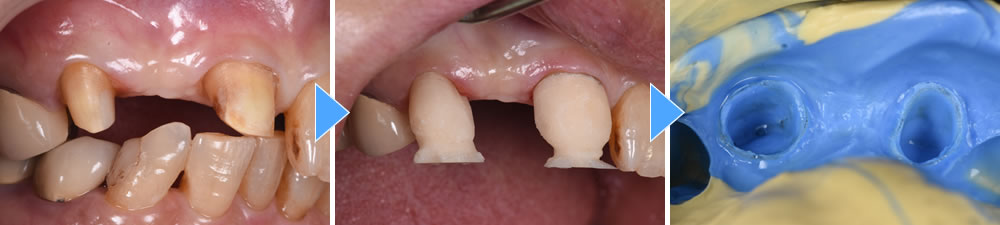
精密印象(最終的かぶせ物の型取り)
審美面、咬合および機能面(咀嚼、発音等)に問題がないことを確認し、精密印象を行います。本症例では個歯トレーとシリコン印象剤を用いた精度の高い印象採得方法を行いました。精度の高い模型製作へと繋がり、適合精度の高い補綴物の製作が可能となります。
また、プロビジョナルクラウンを装着した状態でも印象採得を行い、データとして担当の歯科技工士に情報伝達を行うことで、より生体に調和した技工物の製作を目指します。
(左)右上3番、右上1番の支台歯です。
(中)支台歯に装着された個歯トレー。個歯トレーを支台歯に合わせて調整を行うことにより、支台歯辺縁までしっかりと印象採得が行えるだけでなく、支台歯周囲のシリコン印象剤の量が少なくなるため、材料の変形量が少なくなり、寸法精度が向上する。
(右)支台歯辺縁までしっかりと印象採得が行えています。
完成したフルジルコニアブリッジ
シェードテイキング(歯の色合わせ)を行い、完成したフルジルコニアブリッジです。グラデーションにステイニング(着色)が施され審美性に優れた補綴物です。
治療終了
口腔内に実際に装着して、審美面だけでなく機能面(咬合関係、咀嚼、発音等)に問題がないことを確認します。患者さまの了承を得て合着(外れないようにセメントで装着すること)を行い、治療終了としました。
治療前後の比較
術前、術後の写真です。審美面はもちろんのこと、取り外し式の義歯の煩わしさから解放され、患者さまには大変喜んでいただきました。状態を維持できるよう、メンテナンスをともに頑張っていきましょう。
| 年齢/性別 | 70代 女性 |
|---|---|
| 治療期間 | 4ヵ月 |
| 治療回数 | 5回 |
| 治療費 | 自費 プロビジョナルクラウン 11,000円/歯(本症例では3歯分) 自費 精密印象採得 8,800円/歯(本症例では支台歯2歯分) 自費 フルジルコニアブリッジ(ステイニングあり) 141,000円/歯(本症例では3歯分) |
| リスクなど | ・被せものに強い衝撃が加わると破損する可能性があります。 ・知覚過敏や疼痛を生じる可能性があります。 |











