外傷で破折した歯をダイレクトボンディングで修復した症例
外傷で破折した歯をダイレクトボンディングで修復した症例
外傷で破折した歯をダイレクトボンディングで修復した症例をご紹介いたします。
初診時の口腔内
主訴は前歯の欠けて治した部分をよりきれいに治してほしいとのことでした。口腔内を確認すると、右上2の切縁付近が破折し、実質欠損が認められました。また、右上1には広範囲に充填されたコンポジットレジンが認められ、左上1に充填されたコンポジットレジンには段差と不適合が認められました。これらの修復物は、転倒による外傷にて治療したとのことでした。
形態不良による審美障害を呈している状態でした。
治療計画について
保険診療によるコンポジットレジン充填
自費治療によるコンポジットレジン充填(審美充填、ダイレクトボンディング)
ラミネートベニア審美修復
クラウンによる補綴治療
患者様はダイレクトボンディングをご希望ですが、一通り治療方針の選択肢を説明させていただきました。
今回の症例は②③④を組み合わせて治療を行っても良いかと考えましたが、患者様はダイレクトボンディングをご希望されました。治療後に短期間での脱離や破折が生じた場合は③④を行う可能性にご了承いただき治療を開始しました。
※当院で行うダイレクトボンディングについての特徴や接着操作についてはこちらの症例をご覧ください。
治療回数1回目(口腔内写真・レントゲン検査・模型製作等)
カウンセリングを行い、口腔内写真撮影、レントゲン検査を行いました。また、型取りを行い、模型を製作して最終的にどのような形態にするか事前にデモンストレーションを行います。今回は患者様が外傷で歯を失う前の状態と外傷受傷時の写真をお持ちだったので、参考資料としていただけたのはとても助かりました。
シェードテイキング
治療回数2回目(既存修復物の除去・ダイレクトボンディングの実施)
麻酔を行い、既存修復物の除去を行いました。健全歯質を削らないようにレジンを注意深く除去します。写真のように、コンポジットレジンと歯の蛍光性は異なるため、ブラックライトを使用することで判別がしやすくなります。
エナメル質部分に酸処理剤を塗布しセレクティブエッチングを行なったのち、ボンディング剤の塗布を行います。
コンポジットレジン充填・研磨終了後
形態修正と研磨を徹底的に行います。
治療直後
治療の直後はラバーダム防湿により歯質が乾燥し水分量が失われているため、レジンと歯の色が馴染んでいません。
2週間後 経過観察
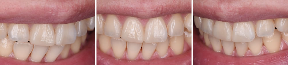
失われた水分量が戻り、レジンと歯の色が問題なく馴染んでいることが確認できました。患者様には大変満足いただけたようで、歯が折れてしまう前の状態は確かにこんな感じだったとのお言葉をいただきました。患者様より少しざらつく部分があるとのことで研磨を行い、咬み合わせの調整を少し行いました。今後は治療部位の破折防止のため就寝時にナイトガード(マウスピース)を製作し使用していただく予定です。
治療前後の比較
【治療前】
【治療後】
| 年齢/性別 | 30代 男性 |
|---|---|
| 治療期間 | 2日(カウンセリング、治療日) |
| 治療回数 | 1回 180分 |
| 治療費 | ダイレクトボンディング 右上2:16,500円/右上1、左上1:66,000円(税込) (費用は16,500円〜66,000円の間で難易度と相談の上、決定いたします。) |
| リスクなど | ・ダイレクトボンディングは経年劣化により脱離、変色する可能性があります。 |















