金属床部分床義歯・かぶせ物等を用いた咬合再構成治療の症例
金属床部分床義歯・かぶせ物等を用いた咬合再構成治療の症例
「歯が抜けてしまった」「奥歯で噛めない」「入れ歯が使えない」「顎が痛い」との主訴で来院された患者様に対して、全顎補綴治療を行なった症例です。
初診時の口腔内
初診時の状態です。口腔内を確認させていただくと様々な問題を抱えている状態でした。左上の自然脱落してしまった奥歯と、使用していた部分入れ歯(部分床義歯)をお持ちでした。奥歯で噛めるところは右側小臼歯の2箇所のみで、さらにはそのうちの1歯が破折しており、大変お困りになられている状態でした。
噛み合わせの状態が解決されないまま、場当たり的な治療を繰り返しどうにか口腔内を維持してきたようですが、1箇所に問題が生じバランスが崩れたことによって、他の部位もどんどん悪化してしまったという状況です。
患者さまのご希望
- インプラント治療は怖いので絶対にイヤ
(知人がインプラント治療で失敗したという話を聞いたとのこと) - 部分入れ歯(部分床義歯)を装着することに対しては抵抗がない
- 美味しいものが食べられるように、しっかりと噛めるようになりたい
- 治療期間、費用は覚悟しているので、保険治療、自費治療は問わない
- 上の前歯の被せ物は再治療したくない
(見た目が気に入っていること、治療してくれた先生との信頼関係との点から)
とのことでした。患者さまのご希望に沿うと治療計画、治療方法の選択肢に制限が生じてきますが、可能な限り治療を行わせていただくこととしました。
問題点と治療計画について
主訴と患者さまのご希望を考慮しながら、問題点と診断をリストアップして治療計画を立案します。
歯周病→歯周病治療
感染根管治療が必要な歯が多数存在→感染根管治療、支台築造、補綴処置
欠損(右上7、右上6、左上4、左上6、左上7)、左上5残根の状態
→欠損部位に部分床義歯の装着を行い、臼歯部の咬合支持がない状態を改善
過蓋咬合(下顎前歯の露出量が少ない)、咬合高径の低下(顔貌の評価、口角が下がり気味、口唇の厚みが薄くなっている等)、顎関節疼痛の改善
→可撤式口腔内装置(スタビライゼーションスプリント、以下スプリント)を使用し、適切な咬合高径の回復と顎関節疼痛の改善を行い、最終補綴処置の計画の確認を行う
咬合平面の不正→上顎前歯の治療が患者様希望により不可能なため、スプリント治療と並行しながら、可能な範囲で行う
異常習癖(噛みしめの自覚あり)、嗜好(歯応えのあるもの、固い食べ物が大好き)
→患者指導を行い、最終補綴後は夜間の歯軋り防止装置(ナイトガード)の装着を行う
上記治療計画に同意をいただき、治療を開始しました。
(本症例では①歯周病治療、②感染根管治療、支台築造については割愛いたします。)
- STEP1 しっかりと奥歯で噛めるようにして安心して生活できるようにする
- STEP2 咬み合わせを整える
- STEP3 整えた咬み合わせが反映された最終補綴を製作する
本症例は上記の3ステップで治療を進めました。
STEP1 しっかりと奥歯で噛めるようにして安心して生活できるようにする
患者さまは奥歯が無く、食事がしっかりとできない状態です。短期的な治療計画の目標は、とりあえず「しっかりと奥歯で噛める」ような状態に持ち込み、食事等が不自由なく行えるようにすることが第一優先です。
右上5について
右上5については、うっすらと破折線が認められる状態でした。破折歯は一般的に抜歯適応となります。無症状であったことから、患者さまの抜歯の同意が得られず、可能な範囲で感染根管治療を行い、補綴処置を行ないました。
上顎欠損部位に治療用部分床義歯の装着
慨形印象、個人トレー(カスタムメイドの型取りの道具)と筋形成(口腔内の筋肉の動きを反映する術式)を用いた精密印象、咬合採得(咬み合わせ)を行い、咬み合わせを安定させるための治療用の部分床義歯を製作しました。
また装着時には上顎に装着された部分床義歯と噛み合う下顎の既存補綴物を咬合調整しました。後に再治療を行う部位であるため、支台歯と補綴物のフレームが露出しましたが、短期的に問題はないと考えます。挺出した歯の咬合調整を行い、歯の高さを合わせ咬合平面を修正することで咬み合わせが安定するようになります。
STEP2 咬み合わせを整える
患者さまがしっかりと食事ができる状態になったことが確認できたので、ステップ1:短期的な治療計画の第一目標は達成です。
続いて、下記の治療を同時進行で進めていきます。
- Ⅰ.感染根管治療が必要な部位を仮歯に置き換えて、1歯単位での治療を進める
- Ⅱ.全顎での噛み合わせの治療を進める
左下6欠損に装着された左下567ブリッジの除去を行い、仮歯に置き換えて左下5、左下7の感染根管治療を行いました(感染根管治療については割愛いたします)。
咬み合わせが低い状態だと、下顎が後方に押し込まれるようになり、顎関節後部の組織を圧迫して痛みを感じてしまいます。
本症例では、前述した④過蓋咬合・咬合高径の低下・顎関節症状の改善⑤咬合平面の不正を同時に治療していくため、上顎に新たに治療用の部分床義歯、下顎にスプリントを使用することとしました。
口腔内に取り外し式の装置を装着することは大きな違和感となりますが、取り外し式であるため、慣れ親しんだお口の中の状態に”取り外せば”いつでも戻ることができる点においては、安全な治療法と考えられます。
術者が適切な咬合高径と咬み合わせの位置関係であると判断した設計が、患者さまが受け入れられない状態であるかを診断し、最終補綴処置の計画の確認を行うことが可能となります。
上顎に装着する新たな治療用義歯の試適(フレームの適合と人工歯の排列位置の確認)と咬合採得(ワックスとよばれる材料で咬み合わせを取ること)を行い、装置を完成させます。
上顎に治療用の部分床義歯、下顎にスプリントを装着しました。厚めに製作されたスプリントの調整を行いながら、咬合高径と咬み合わせの位置関係を修正していきます。顎関節症状が落ち着いた状態の咬み合わせは、顎関節に負担をかけない健全な咬み合わせであると考えられます。
スプリントは咬合調整および、使用時による咬耗にてだんだんと薄くなり、咬み合わせに不要な部分はなくなっていきます。スプリントの分厚く残ってしまう部位は、咬み合わせが足りない部分(補綴物の高さが足りない部位)となります。
調整1回目。下顎スプリントの調整を行なうと、右下8相当部に穴が空きました。
調整2回目。さらに調整を行なっていきます。右下8、右下321左下12部位に穴が空き、歯面が露出しています。また左上5残根部の抜歯の同意が得られたため、同日に抜歯を行いました。
調整3回目。スプリントの厚みがより薄くなり、上下の歯牙が接触する部位が増えてきました。また、顎関節の痛みが消失したことが確認できました。
顎関節症状の改善が確認できたことから次の治療ステップに移ります。
左下567の仮歯と、右下4567の既存補綴物の部位にスプリントの厚みが残りました。既存補綴物の咬み合わせが低いことが分かります。現状の咬み合わせの高さを維持したまま、最終的な補綴物を製作したいので、スプリントを切断して仮歯を製作する特殊な手法を用い、スプリント装着時の咬み合わせの高さを維持したまま仮歯を装着しました。
スプリントを切断し、仮歯と一体化させ、スプリントの咬み合わせのままの仮歯を製作します。
左下567にTEKが装着されました。
右下7654にTEKが装着されました。引き続き仮歯の調整と、最終補綴物の製作に向けて必要な処置を進めていきます。
右上4の抜歯(歯根破折しており、予後が見込めない状態がご理解いただけたので抜歯手術を選択しました。)
右上5感染根管治療、ファイバーポストコア、仮歯の製作後に義歯製作の前処置冠(ミリング加工を施したサベイドクラウン)の製作を行いました。また、平行して上顎欠損部の金属床義歯、右下4567メタルボンドクラウン、左下567メタルボンドブリッジの製作を行なっていきます。
サベイドクラウンとは?
例)ミリング加工を施した前処置冠(サベイドクラウン、ミリングクラウン)(※別症例)
部分床義歯のクラスプ(バネ)が装着される歯のことを「鉤歯(こうし)」と呼び、お口の中で部分床義歯がより維持安定するように設計された鉤歯に装着する被せ物のことを「サベイドクラウン」といいます。
お口の中で部分床義歯が安定し機能するデザインを考慮し、義歯製作と同時に義歯の留め具が嵌まり込む掘り込みや面をあらかじめ施した被せ物を装着することで、しっかりと咬める義歯を製作することが可能となります。
STEP3 整えた咬み合わせが反映された最終補綴を製作する
右上5のサベイドクラウンの製作と同時に上顎の金属床義歯の人工歯排列を行います。口腔内に試適し、人工歯排列に問題がないことを確認したのち、義歯を一旦完成させます。
上顎金属床の設計を歯科技工士と相談しながらデザインしていきます(図に載せていない義歯の金属フレームの内面なども細かく設計していきます。)
スプリントにて修正を行なった咬み合わせを最終補綴物に踏襲するために、半調節性咬合器にフェイスボウトランスファーを行い、上下顎の模型(上顎は完成させた義歯を装着した状態の模型、下顎は仮歯の状態の模型)を装着して顎の動きと咬合器の動きが近似するように調整します。
フェイスボウと呼ばれる装置を用いて、上顎歯列の三次元的位置関係を咬合器上に再現します。
これを行うことにより、咬合器と模型の関係が生体の動きと近似、製作される最終補綴物が顎の動きに調和したものとなります。
参照:https://www.kavo.co.jp/product/kavoproduct/high_tech/articulator/face_bow
実際の患者さまの顎の動きに近似した動きをしてくれるようになった咬合器にて、上顎模型はそのまま、下顎模型は右下7654、左下567の補綴物(メタルボンドクラウン、ブリッジ)の製作用模型を咬合器に装着し、歯科技工士に補綴物の製作を依頼します(クロスマウント法)。
これを行うことにより、生体の動きと完成された義歯との咬み合わせに調和した補綴物が製作が可能となります。
右上5サベイドクラウン、上顎金属床部分床義歯、下顎メタルボンドクラウン、ブリッジが装着されました。
上顎金属床義歯の金属歯の製作に入ります。新たに製作した義歯を預かり製作するため、預かり期間中に使用していただくスペアの義歯をします。通方に従い、上顎の精密印象および咬合採得を行い、完成させます。
上顎に預かり期間中に使用するスペアの義歯が装着されました。
クリアレジンにて製作されたスペアの義歯です。スペアの義歯は金属床義歯のデザインと近似させることで違和感を軽減させる工夫をしています。
患者さまは上顎義歯を外してしまうと臼歯部の咬み合わせが無くなってしまいます。就寝時の歯軋りや食いしばりにより、上顎の残存歯に負担がかかってしまうことから、就寝時に使用する有床型ナイトガード(ナイトデンチャー)の製作も同時にご希望されました。スペアの義歯をのちに有床型ナイトガードに改変するため、透明なクリアタイプで製作しました。
スペアの義歯を2週間ほど使用していただき、使用感に問題がないことの確認ができたところで、上顎金属床義歯の金属歯の製作に移ります。
シリコン材料で義歯人工歯の型取りを行います。
金属歯に置換する厚みの約2mm程度、人工歯を削合します。
先に採ったシリコン材料と常温重合レジンにて、人工歯の形態を回復します。
常温重合レジンは既成人工歯と比較し摩耗しやすい材料です。この人工歯を使用していただくことで、日常生活での顎の動きが人工歯に刻まれ、患者様の生体に調和した形態に変化します。
約1ヶ月間装着していただき、患者様のお口の中に馴染んだことを確認できました(赤や青の咬合紙の印記の数が増え、咬合接触の面積が増加しています)。
ピックアップ印象(義歯ごと型取りを行うこと)にて模型を製作します。模型上で生体に調和した金属歯を製作します。
日常生活での擦り減りを踏襲した金属歯に置換された義歯は咬合器上でしっかりと調整され、口腔内に無調整で装着されました。金属歯は審美性を損なう欠点がありますが、上顎両側4番、5番は頬側まで金属歯の範囲を広げないデザインにすることで目立ちにくくなるよう工夫しました。
金属歯を使用するメリット
- レジン歯よりも磨耗が少ないため、咬み合わせの変化が少ない
- 咬み合わせの高さ(咬合高径)の維持へとつながる
- 長期的に人工歯の修理が減らせる
- 咬みしめや食い縛りが多い方、咬合力が強い方に有利
- 本症例では金属歯の材料に白金加金を使用。適度な柔らかさを持ち、咬み合わせが馴染みやすい
- 既製品のパーツではなく、日常生活での機能運動の摩耗を金属歯に置換しているため、完全オーダーメイドで生体に調和した形態となっている
また、預かり使用期間中に使用する義歯を改変して、有床型ナイトガード(ナイトデンチャー)を製作しました。前述した通り、就寝中に義歯を外すと臼歯部の咬み合わせが無くなることで上顎前歯に負担がかかってしまいます。有床型ナイトガード(ナイトデンチャー)はクリアレジンにて咬合面を覆うデザインにすることで、就寝中の歯軋りや喰いしばりによる咬合力の負担を軽減し、残存歯の保護へとつながります。
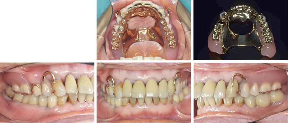
治療前・治療中・治療後の比較
【治療前】
【治療中】
【治療後】
治療前、治療中、治療後の写真です。患者さまには大変満足していただきました。患者さまのご理解もあり、治療期間・回数がかかりましたが、納得のいく治療ができたのではないかと考えています。いちばん頑張っていただいたのはもちろん患者さまです。メンテナンスをしっかりと行い、お口の中の状態を維持していく予定です。
| 年齢/性別 | 70代 女性 |
|---|---|
| 治療期間 | 3年 |
| 治療回数 | 35回 |
| 治療費 | 自費 仮歯5,500円(税込)/歯(本症例では7歯分) 自費 治療用義歯 88,000円(税込)(本症例では2床) 自費 スタビライゼーションスプリント 44,000円(税込)/装置 自費 スタビライゼーションスプリント、仮歯、義歯調節量 8,800円(税込)/回 (本症例では8回) 自費 抜歯 11,000円(税込)/歯 自費 ファイバーコア 16,500円(税込) 自費 メタルボンドクラウン、ブリッジ 155,000円(税込)/歯(本症例では8歯分) 自費 有床型ナイトガード(ナイトデンチャー)363,000円(税込) 自費 金属床部分床義歯(白金加金)1,100,000円(税込)/床 自費 金属歯加工 110,000(税込)/歯(本症例では7歯分) 総額 3,114,400円(税込) |
| リスクなど | ・治療期間が長期化すると仮歯が破損したりする可能性があります。 ・咬み合わせの治療により咬み合わせが変化すると違和感や不快症状が生じる可能性があります。 ・セラミックスの被せ物はかけたり破損する可能性があります。 ・抜歯により痛みが生じる可能性があります。 |





































