子どもの八重歯(叢生)の矯正治療例(9歳 女児)
子どもの八重歯(叢生)の矯正治療例(Before&After)と解説
全体的な歯並び、噛み合わせと萌出遅延歯をインビザライン・ファーストとワイヤー矯正での開窓牽引を行い、治療した症例を紹介します。
こちらの患者さまは、当院の一般歯科の初診で「上の前から2番目の歯で、乳歯が抜けた後になかなか永久歯が生えてこない」との主訴で来院されました。
お口を拝見すると、上顎左側側切歯が萌出していない状態でした。反対側の右側側切歯はしっかりと萌出しており、本来であれば萌出していなければならない時期でした。
診断
- 叢生:歯並びがガタガタであること
- 上顎左側側切歯の萌出遅延:スペースが不足し、生えてくる場所がなく歯が出てこない状態
矯正治療が必要であることを患者さまおよびご家族にご説明し、矯正治療を開始しました。
ポイント
今回の症例のように、「乳歯が抜けてから数ヵ月経っても永久歯が生えてこない」場合、注意すべきポイントは3つあります。
先天性欠如:もともと生えてくるはずの永久歯がない
曲がって埋まっている(永久歯歯胚の位置異常、転位歯など):隣の歯に引っかかっているなど、正常に生えてこない
生えてくる場所がない:歯がキツキツで生えてこられない
今回の症例は『③生えてくる場所がない』のケースにあたります。
別症例(①②の参考症例)
こちらは、①先天性欠如、②曲がって埋まっている状態が上顎両側小臼歯部に併発している別の症例です。
治療計画の立案
診断結果を基に治療計画を立てます。
1.歯列不正の改善と萌出スペースの確保
まず、未萌出である上顎左側側切歯の萌出するスペースを作ることが優先事項となります。歯並びを整え、萌出スペースを作ってあげることにより、歯に萌出しようとする力が残っていれば自然と萌出してくれる場合があります。
本症例では、インビザライン・ファーストを使用しました。
2.開窓牽引
前述した萌出スペースの確保を行い歯が自然と生えてこない場合は、歯に萌出力が残っていないと判断し、開窓牽引により矯正力をかけてあげて、歯が萌出する手助けをしてあげます。
本症例では、残念ながら自然と萌出してくることがなかったため、矯正装置を変更し、マルチブラケット装置によるワイヤー矯正によって開窓牽引を行いました。
歯列不正の改善と萌出スペースの確保の実施
治療計画通り、インビザライン・ファーストを使用して歯列不正の改善と萌出スペースの確保を行いました。
開窓牽引の実施
①CT画像にて外科的侵襲が最小限になるよう、開窓する部位を計画します。表面麻酔、浸潤麻酔をした後、電気メスにて歯肉を切除していきます。
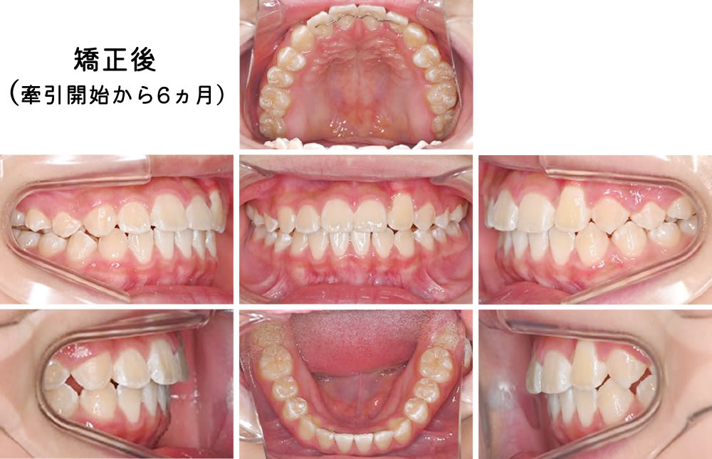
矯正後(牽引開始から6ヵ月)
牽引により萌出した歯をきれいに並べワイヤー矯正を外しました。ご家族のご協力、なにより患者さまご本人の頑張りもあり、安定したきれいな歯並び・噛み合わせを実現することができました。
今後は成長発育の変化に伴う歯列の変化の経過観察を行い、必要に応じて2期治療を検討していく予定です。
治療前後の比較
| 年齢・性別 | 9歳 女児 |
|---|---|
| 治療期間 | 1年11ヵ月 |
| 抜歯 | なし |
| 治療費(税込) | 528,000円 |
| 備考 | 叢生、上顎左側側切歯萌出遅延 |















