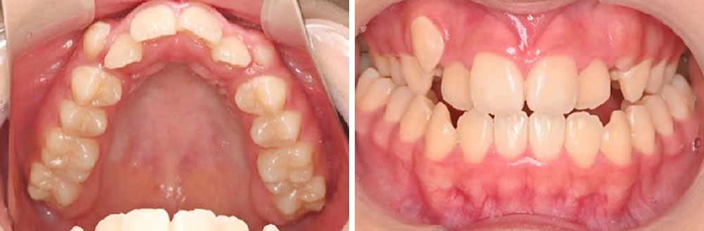
叢生(八重歯)の治療例(10代 女性)
叢生(八重歯)の治療例(Before&After)と解説
上の犬歯が出ているのと全体的な歯並び、噛み合わせが気になるとの主訴で来院された患者さまです。
診断・治療計画
CT画像、模型分析、口蓋形態の検査などを行い、患者様の上顎歯列は、歯列だけを広げるのではなく、骨から広げる必要があることが分かりました。
本症例では、マルチブラケット装置によるワイヤー矯正と上顎の歯列を骨から拡大する装置【急速拡大装置(RPE)】を併用し、上顎を広げることで犬歯の生える場所を獲得し、噛み合わせを改善していくという治療方針を立てました。
急速拡大装置(RPE)とは?
頭蓋骨には縫合というつなぎ目構造があり、生まれてすぐはつなぎ目がくっついていません。上顎骨の天井を口蓋と言いますが、口蓋の真ん中にはつなぎ目である正中口蓋縫合があります。
RPEは、何らかの理由で上顎が非常に狭くなってしまった場合に正中口蓋縫合に働きかけて、歯列を拡大する装置です。
【急速拡大装置(RPE)の注意点】
正中口蓋縫合は20歳前後に癒合すると言われており、RPEはそれまでの時期にしか使用できない装置でもあります。使用方法は上顎に装着されたRPEの中央にあるネジを回して拡大して使用しますが、自分では回すことができないのでご家族のご協力が必要です。
急速拡大装置(RPE)の治療経過
【初診時】
【急速拡大装置(RPE)の装着】
1日2回、装置の中央のネジを回し正中口蓋縫合を広げていきます。
※回す日数は患者さんそれぞれで異なります。
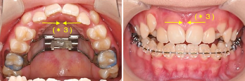
【矯正開始から3週間程度:歯列の拡大と臼歯反対咬合の改善】
(*1)正中口蓋縫合が広げられた分、上顎歯列も広がり、前歯も開いてきます。
(*2)反対になっていた奥歯の咬み合わせが改善されました。
このまま3ヵ月待ち、広げたところに骨ができるのを待ちます。
【矯正開始から3ヵ月:前歯部空隙の自然閉鎖】
(*3)とても気になる前歯の隙間ですが、歯は隙間があると寄っていく性質があり、装置をつけていなくても自然と前歯が寄ってきて、前歯のすき間が閉じてきます。
その後、上顎歯列にマルチブラケット装置を装着してワイヤー矯正を進めました。
矯正治療完了

ご家族のご協力もあり、途中で短期の海外留学がありましたが、その間も顎間ゴムをしっかり使用していただけました。その結果、抜歯を行うことなく、安定したきれいな歯並びと噛み合わせを実現することができました。
| 年齢・性別 | 10代 女性 |
|---|---|
| 治療期間 | 2年6ヵ月(途中海外留学期間あり) |
| 抜歯 | なし |
| 治療費(税込) | 825,000円 |
| 備考 | 狭窄歯列弓、側方歯反対咬合、上顎両側犬歯未萌出 |









