左上45 セラミックインレー治療の症例
つめ物が欠けた歯をセラミックインレーで治療した症例
過去の治療で入れたつめ物が欠けた歯をセラミックインレーで治療した症例をご紹介致します。
初診時の口腔内
詰め物が欠けたので治して欲しいとの主訴で来院された患者さまです。
お口の中を確認すると、左上5の詰め物が破折している状態でした。また、手前の歯(左上4)の詰め物にはすでに欠けの補修治療をした跡があり、左上4、左上5ともにレントゲン診査にて既存修復物の内層部にむし歯が確認できたため、両歯とも治療が必要な状態であることを患者さまにご説明し、治療を開始することとしました。
赤:修復物の破折 水色:修復物を補修した治療痕
治療計画について
患者さまと治療方針について相談しました。
①~⑤の修復治療方法があることをご説明いたしました。(術前の段階では本症例の場合は歯の周りを全周削って治療を行う”クラウン”にしなければならない可能性は低いと考えられました。もちろん、治療を進めていくなかで歯の一部分が薄く残ってしまい破折のリスクが高い場合など、治療方針に変更が生じる可能性があることはご説明済みです。)
患者さまは審美性とできるだけ長く修復物が持つもので治療したいとご希望されたため、②セラミックインレーによる治療をご選択いただきました。
※保険適用外の材料を使用した治療であるため、自由診療のみ適応となる旨、ご了承いただき治療を開始しました。
むし歯治療の実施
表面麻酔を十分に塗布し時間を置いて、浸潤麻酔後に修復物、内層に詰めてあるセメント、むし歯を除去していきます。う蝕検知液を用いてむし歯を注意深く取り除いていきます(むし歯や削片が青く染色されていることがわかるかと思います)。
ラバーダム防湿の実施(治療回数2回目)
表面麻酔を塗布後、浸潤麻酔を行い、ラバーダム防湿を行います。
ラバーダム防湿は、下記のメリットなどがあり、確立された治療方法です。
・口呼吸による湿度の遮断によりレジンの接着を最大限に引き出せる
・舌、唇、頬粘膜の排除することで治療がしやすくなる
・唾液からの隔離
(唾液中には種々の細菌やコンポジットレジンの接着を阻害するたんぱく質等が含まれますが、これらの治療部位への侵入を防ぎます。そこまで厳密に考えなくても良いかもしれませんが、削り終わって→うがいをして、をしてしまうと、削り終わった部分はむし歯になるリスクが高まると考える歯科医師がいることも事実です。)
【防湿について】
巣鴨S歯科矯正歯科では、簡易防湿またはラバーダム防湿を用いてコンポジットレジン充填を行います。保険診療では簡易防湿、自費診療ではラバーダム防湿を行います。(催吐反射、鼻呼吸困難等がある場合は相談のうえ簡易防湿にて対応いたします。)
- ラバーダム防湿
治療部位を口腔内の湿潤環境および唾液に含まれる有機物、血液、細菌から隔離することで、コンポジットレジンの接着力が向上する。 - 簡易防湿(ロールワッテ、排唾管等)
治療部位が口腔内の湿潤環境および唾液に含まれる有機物、血液、細菌から完全に隔離することは不可能となる。コンポジットレジンの接着力を100%引き出せず、修復物の脱離、二次う蝕の原因となる可能性がある。
エッチングの実施
う蝕検知液を塗布し、接着を阻害するプラークの残存を可視化させ、エアフローによるパウダークリーニングにより接着阻害因子を徹底的に除去後、セレクティブエッチングを行い、ボンディング処理を行います。
※セレクティブエッチング:コンポジットレジンを接着させる歯面のエナメル質に酸処理を先に行い、コンポジットレジンの接着力を向上させる処理法のこと。
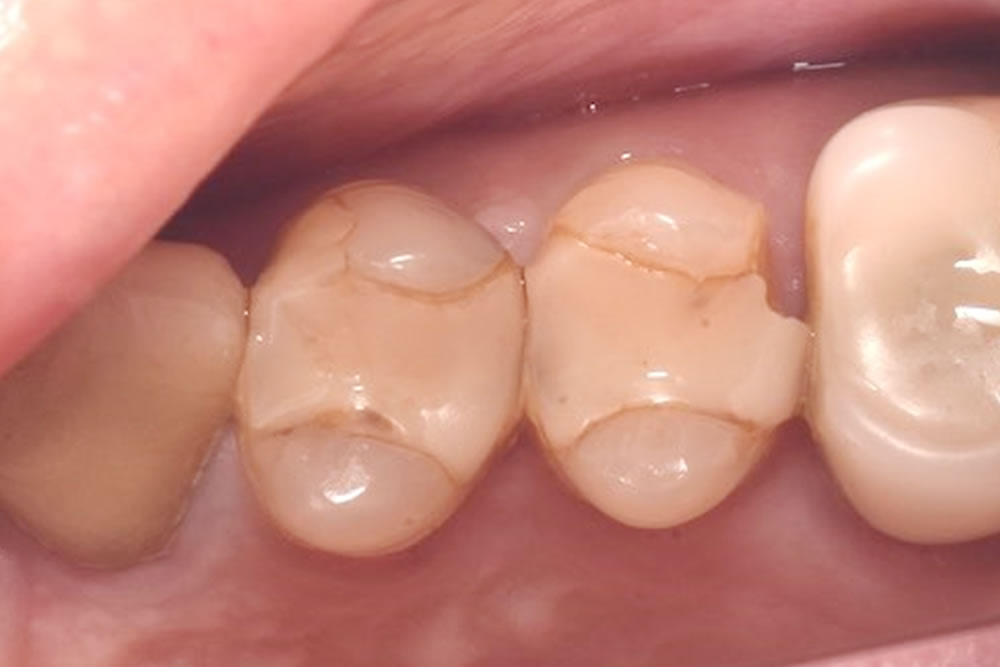
セラミックインレーの装着
▼完成したセラミックインレー
酸素遮断材:コンポジットレジンやレジンセメントは空気中の酸素に触れている最表層部が完全に固まりません。レジンの完全に固まっていない部分は咬合力によって崩れ落ちやすく、残存歯質と修復物の境界に溝や段差が生じやすくなります。術前写真のように褐線・着色となり審美性に問題が生じたり、場合によってはむし歯の原因となる可能性があります。
治療完了
術後適合、審美性ともに良好な結果が得られました。
治療前後の比較
| 年齢/性別 | 50代 女性 |
|---|---|
| 治療期間 | 1ヵ月 |
| 治療回数 | 2回 |
| 治療費 | むし歯除去、窩洞形成、精密印象採得 8,800円 セラミックインレー 77,000円/歯 |
| リスクなど | ・咬合力により破折・破損する可能性があります。 ・術後に神経症状が生じる可能性があります。 ・経年劣化により脱離、変色する可能性があります。 |



















