【小児矯正】子どもの矯正いつはじめる?タイミングが大切です。
投稿日:2024年12月4日
カテゴリ:矯正ブログ
こんちには、巣鴨S歯科矯正歯科です!
お子様の歯の生え変わりが進み、歯並びが気になってきたけれど、
子どもの矯正治療はいつ始めるのが良いのか悩みどころですよね。
矯正のご相談にいらっしゃるお母さまお父さまから
「虫歯のチェックで定期的に通っているの歯医者さんから、『小児矯正は〇歳までに始めないと遅いですよ』と言われたんですが…」
「最近まわりのお友達が矯正をはじめる子が多くて、うちの子もそろそろはじめないと遅いのかなと心配になって…」
と多く伺います。
結論から先にお伝えすると
始めるタイミングは「年齢」ではなく、「お口の中の生え変わりに合わせて」です。
お子さんの矯正歯科治療は、もちろんタイミングが重要ですが、
しかし、むやみ早すぎるのは良くありません。
効果の出ない時期にお子さんに負担になるだけということにもなり兼ねません。

矯正歯科医が小児矯正を始めるタイミングのポイント
実際には、子どもの矯正治療は歯並び、噛み合わせ、お顔の骨格、遺伝的要因…etcによって始めるタイミングは全くもって人それぞれです。
まず、お家で見ていただきたいポイント!
前歯の噛み合わせが反対になっていないかどうかです。
前歯の噛み合わせが反対の場合には、なるべく早く矯正歯科を受診して確認していただきたいです。
すぐには矯正治療を始めないかもしれませんが、反対の噛み合わせの場合は早い段階での治療開始が必要になります。
噛み合わせが反対のお子様は5歳前後で一度拝見できていると治療計画が安心してたてられます。
前歯の噛み合わせが問題なければ、その次は矯正歯科医としては、
6歳臼歯が生え、上下の前歯4本が永久歯に生え変わったら
診せていただきたいタイミングです!
先に結論とお伝えしましたがポイントは、
矯正治療を始めるタイミングは「年齢」ではなく、「お口の中の生え変わりに合わせて」です。
なぜなら、お子様には『成長』と『歯の生え変わり』があるからです。
「成長」や「歯の生え変わり」は非常に個人差があります
(なので全員を『〇歳で!』とはくくれません)
お口、顎の成長も、身長の伸びなど同じように、個人差が大きいものです。
歯の生え変わりも非常に個人差があります。
早い子だと小学校3年生くらいでほとんどの歯が生え変わり大人の歯=永久歯のになり、12歳臼歯まで生えそうな子もいれば、
高校生になってやっと12歳臼歯が生えてきたという子もいるくらいです。
歯の生え変わりがお友達に比べてゆっくりだと心配されるお母さまお父さま方もいらっしゃいますが、
しっかりとレントゲン画像で、生えてくる永久歯に問題ないことが確認できていれば、歯の生え変わりがのんびりなのは心配いりません。
(お掃除や虫歯チェックで通っているだけではお子さんの場合はレントゲンを撮らない場合も多いのですが、必要な時にはレントゲン画像でのチェックが大切です)
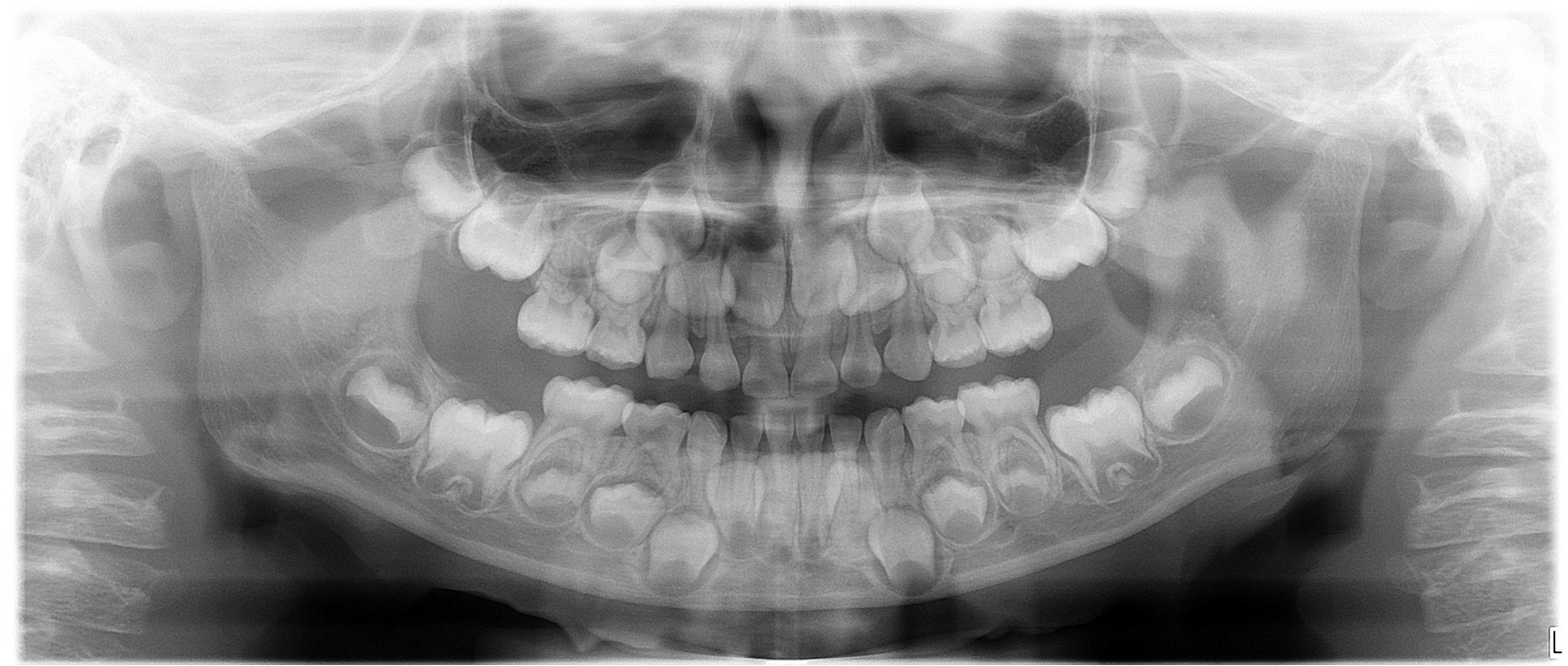
【6歳のお子さんのレントゲン画像:乳歯の下にこれから生えてくる永久歯が控えています】

なぜ小児矯正で始めるタイミングが重要なのか
歯は、顎の骨という土台に植わっています。
その土台の顎の骨にも成長があります。
そして、その土台である顎の骨は上顎と下顎で成長のタイミングが異なります。
赤ちゃんは生まれてから、頭が大きくなりますよね。頭は脳みその入れ物で、その入れ物の底の部分にあたるのが上顎です。
生まれてから上顎はどんどん大きくなっていって、上顎の成長は9~10歳くらいで落ち着きます。
そして今度は、中学生前後になると急に背が伸びますが、
このタイミングで下顎が前下方に成長します。
下顎の成長で丸顔から面長になる為、子どもっぽい顔つきから大人っぽい雰囲気になります。
上顎と下顎の成長のそれぞれのタイミングを適切にとらえ、成長をコントロールするのが小児矯正=子どもの矯正治療の本来の目的です。
この、歯の生えている土台の顎の骨の成長コントロールが出来ているかどうかで、
将来の歯並びかみ合わせの成否が大きく左右されます。
小児矯正を始めるタイミングのポイントの項目で、
反対の噛み合わせの場合には、なるべく早く受診しましょうとお話したのも、このためです。
!さらに上顎の前歯が並ぶ切歯骨の成長は6歳までに成長が止まってしまいます!
!なので、反対咬合の子は早めに受診しましょう!
前歯の噛み合わせが反対だと、自分の下の前歯で上の前歯を抑えてしまい、
上顎の成長を抑え込んでしまい、十分に成長できず下顎ばっかり成長してしまい、噛み合わせが反対になってしまうのです。
成長期が十分に残っているうちにロックされている上顎を解除し、上顎をしっかりと成長させてあげる必要があるため早めの受診が必要になります。
最近では、「簡単で早くきれいになりますよ」といい、上下の顎の成長について考えられていない装置が巷に出回っており危惧しております。
「成長」がある以上、「早く終わる矯正治療」=上下顎の成長を考慮していない治療は、その後の歯並び噛み合わせに悪影響を残すことさえあり、かえって危険だとさえ考えられるからです。
歯の土台である、顎の成長を無視してお子様の矯正歯科治療は成功しません。
そして、一生自分の歯で噛めるきれいな歯並び噛み合わせを獲得することはできません。
巣鴨S歯科矯正歯科はじめ、初診相談は無料という矯正専門の歯科医師のいるクリニックは多数ありますので、迷っていたら矯正の専門の歯科医師にご相談いただくのが一番安心です。
気になったらいつでもご相談ください。
■ 他の記事を読む■


